My Story & My Hope To Prevent Others From Being Injured

I was injured by Dr. Hoefer at Well Connected Chiropractic in Mission Viejo.[1]


What You Should Know

Well Connected Chiropractic

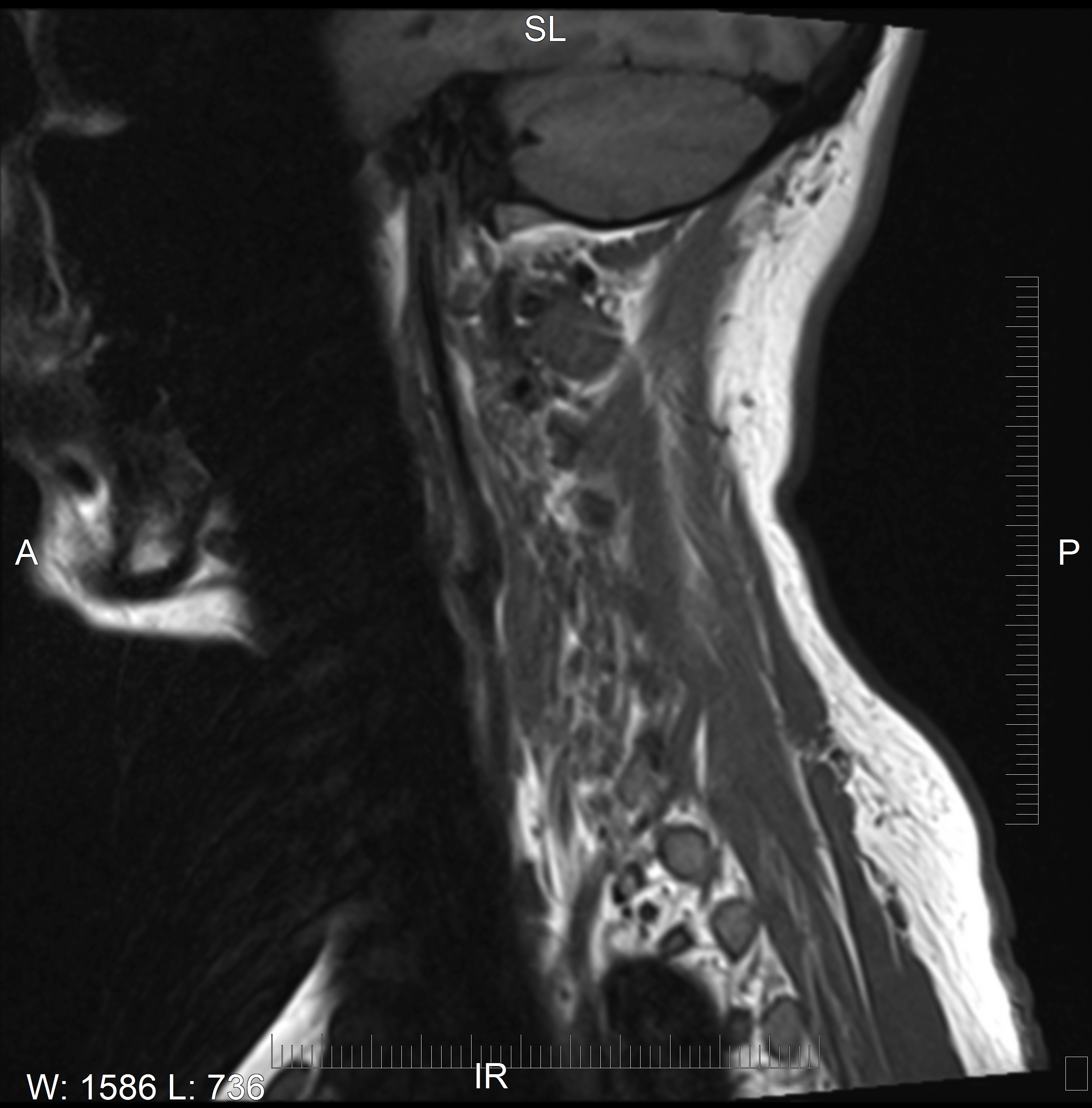
Injured discs in my cervical spine. Dr. Elizabeth Starr Hoefer, D.C dismissed me via text message that told me to go to the ER immediately, and left in fear of the damage she had done. The ER then promptly told me what Dr. Hoefer's text message said, pointing the finger at something else resulting in my pain and injury, was not even possible.

If you are looking for holistic healing, then you may feel ready to turn to chiropractics. If that describes you, then you should AVOID WellConnectedChiro.com as if your life depended on it, because it does.

My rating for Dr. Hoefer, the staff at Well Connected Chiropractic, and for the company is 0 stars out of 5. I would never recommend them to anyone and strongly encourage you, reading this, to find care elsewhere.

I'm Not Alone

Yelp Reviews

Behind the well curated image, lies stories of danger and despair.

Google Reviews

Again, there are reviews here that speak to the truth about dealing with Well Connected Chiropractic. A direct link with sorting is not possible, but if you view the reviews and sort by Lowest, you'll see them.

ER & Orthopedic Doctors

I was fortunate to have MRI images available before and after seeing Dr. Hoefer in Mission Viejo. Unfortunately, the injury I sustained in her care took me a year of pain and suffering to even begin to resolve with an orthopedic surgeon.

Save yourself the time, money, and agony that I had to endure because I made the mistake of going to Well Connected Chiro.

What It Cost Me

Don't Let It Cost You

9
+

Months Of Pain

4

Cervical Epidurals

90
+

Physical Therapy Sessions

6

Doctors and Specialists Seen

A Piece of Advice

Pay attention to your gut feelings. No matter how good something looks if it doesn’t feel right, walk away.